Lompat ke konten Lompat ke sidebar Lompat ke footer

Bewegungseinschränkung Nach Distaler Radiusfraktur

Korrekturmoglichkeiten Bei Fehlstellungen Nach Distalen Radiusfrakturen Springerlink

Korrekturmoglichkeiten Bei Fehlstellungen Nach Distalen Radiusfrakturen Springerlink

Bewegungseinschränkung nach distaler radiusfraktur. Zu möglichen Komplikationen eines operativen Eingriffs zählen eine Bewegungseinschränkung von Hand und Fingern Kraftminderung chronische Schmerzen Nervenschäden Gefäßverletzung Achsen- Längen- oder Rotationsfehlstellungen sowie eine Verschiebung oder Verdrehung der gebrochenen Knochenanteile. Posttraumatische Arthrose infolge Fehlstellung nach distaler Radiusfraktur mit stark schmerzhafter Bewegungseinschränkung der Unterarmdrehung a Behandlung durch distale Radioulnararthrodese mit distaler Ellensegmentresektion nach Kapandji-Sauvè bc funktionelles Ergebnis mit guter Unterarmumwendbeweglichkeit de. Ich habe hier schon mal berichtet.

Schmerzen nach operation karpaltunnel. Schwellung nach radiusfraktur op. Starke Bewegungseinschränkung nach offener Radiusfraktur.

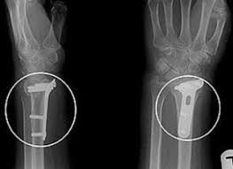
Patienten älter als 55 Jahre mit vorbestehender Bewegungseinschränkung und dislozierter distaler Radiusfraktur und unzureichender Konsolidierung 6 Wochen posttraumatisch wurden als Risikopatienten für ein schlechteres Outcome identifiziert hier wurde die Empfehlung zur Durchführung von Physiotherapie gestellt. Postoperative Röntgenkontrolle einer distalen Radiusfraktur nach Osteosynthese mit zwei winkelstabilen Platten Weiterbehandlung keine Ruhigstellung des gesamten Arms sondern frühzeitige Bewegungsübungen angrenzender Gelenke Finger Ellenbogen Schulter im. In guter Stellung verheilte Radiusfraktur Achsenabkippung geringeren Grades mit einer Bewegungseinschränkung von insgesamt 40.

Die Röntgenbilder zeigen dem Arzt die Lage. Nach einer schweren Gewalteinwirkung können auch Haut und Muskulatur der Hand durch herausragende Knochenenden verletzt sein. Die Symptome äußern sich durch starken Schmerzen eine Schwellung des Ellenbogens sowie einer Bewegungseinschränkung gegebenenfalls sind die Frakturfragmente tastbar.

Symptomatik der distalen Radiusfraktur. Gesichert werden kann die Radiusfraktur aber meist nur mithilfe einer Röntgendiagnostik. Als Folge einer Radiusfraktur treten meist Schmerzen Bewegungseinschränkungen und Haltungsveränderungen auf.

Habe mir im November das Handgelenk beim Schlittschuh fahren gebrochen. Kann man nichts machen. Mitunter treten begleitend zum Speichenbruch Sensibilitätsstörungen der Hand oder der Finger auf.

Diese können in Ruhelage vorkommen verstärken sich jedoch durch Bewegung. Le-diglich bei frühzeitigen Re-Osteosynthe-sen Implantatfehllagen und nach Kor-rekturosteosynthesen besteht ein er-höhtes Risiko für ein CRPS auch bei der Anwendung einer palmaren Platte.

Korrekturmoglichkeiten Bei Fehlstellungen Nach Distalen Radiusfrakturen Springerlink

Korrekturmoglichkeiten Bei Fehlstellungen Nach Distalen Radiusfrakturen Springerlink

Die Korrekturosteotomie An Der Distalen Speiche Orthopadie Traumatologie Universimed Medizin Im Fokus

Die Korrekturosteotomie An Der Distalen Speiche Orthopadie Traumatologie Universimed Medizin Im Fokus

Die Korrekturosteotomie An Der Distalen Speiche Orthopadie Traumatologie Universimed Medizin Im Fokus

Die Korrekturosteotomie An Der Distalen Speiche Orthopadie Traumatologie Universimed Medizin Im Fokus

Korrekturmoglichkeiten Bei Fehlstellungen Nach Distalen Radiusfrakturen Springerlink

Korrekturmoglichkeiten Bei Fehlstellungen Nach Distalen Radiusfrakturen Springerlink

Distale Radiusfraktur Handgelenksnaher Speichenbruch Deutsche Gesellschaft Fur Unfallchirurgie

Distale Radiusfraktur Handgelenksnaher Speichenbruch Deutsche Gesellschaft Fur Unfallchirurgie

Distale Radiusfraktur Handgelenksnaher Speichenbruch Deutsche Gesellschaft Fur Unfallchirurgie

Distale Radiusfraktur Handgelenksnaher Speichenbruch Deutsche Gesellschaft Fur Unfallchirurgie

Handgelenksbruch Distale Radiusfraktur

Handgelenksbruch Distale Radiusfraktur

Korrekturmoglichkeiten Bei Fehlstellungen Nach Distalen Radiusfrakturen Springerlink

Korrekturmoglichkeiten Bei Fehlstellungen Nach Distalen Radiusfrakturen Springerlink

Distale Radiusfraktur Handgelenksnaher Speichenbruch Deutsche Gesellschaft Fur Unfallchirurgie

Distale Radiusfraktur Handgelenksnaher Speichenbruch Deutsche Gesellschaft Fur Unfallchirurgie

Radiusfraktur Ursachen Therapie Und Nachsorge

Radiusfraktur Ursachen Therapie Und Nachsorge

Die Korrekturosteotomie An Der Distalen Speiche Orthopadie Traumatologie Universimed Medizin Im Fokus

Die Korrekturosteotomie An Der Distalen Speiche Orthopadie Traumatologie Universimed Medizin Im Fokus

Handgelenksbruch Distale Radiusfraktur

Handgelenksbruch Distale Radiusfraktur

Distale Radiusfraktur Handgelenksnaher Speichenbruch Deutsche Gesellschaft Fur Unfallchirurgie

Distale Radiusfraktur Handgelenksnaher Speichenbruch Deutsche Gesellschaft Fur Unfallchirurgie

Frakturen Des Distalen Radius Springerlink

Frakturen Des Distalen Radius Springerlink

Radiusfraktur Ursachen Therapie Und Nachsorge

Radiusfraktur Ursachen Therapie Und Nachsorge

Radiusfraktur Mde Gutachten Hand Arm

Radiusfraktur Mde Gutachten Hand Arm

Distale Radiusfraktur Handgelenksnaher Speichenbruch Deutsche Gesellschaft Fur Unfallchirurgie

Distale Radiusfraktur Handgelenksnaher Speichenbruch Deutsche Gesellschaft Fur Unfallchirurgie

4 Ubungen Nach Einer Radiusfraktur Therapiezentrum Steyregg Youtube

4 Ubungen Nach Einer Radiusfraktur Therapiezentrum Steyregg Youtube

Fruhergebnisse Nach Palmarer Winkelstabiler Multiaxialer Plattenosteosynthese Bei Der Behandlung Distaler Radiusfrakturen Springerlink

Fruhergebnisse Nach Palmarer Winkelstabiler Multiaxialer Plattenosteosynthese Bei Der Behandlung Distaler Radiusfrakturen Springerlink

Radiusfraktur Fachwissen Zu Bandagen

Radiusfraktur Fachwissen Zu Bandagen

Https Www Thieme Connect De Products Ejournals Pdf 10 1055 S 0032 1315238 Pdf

Https Www Thieme Connect De Products Ejournals Pdf 10 1055 S 0032 1315238 Pdf

Zeitplan Fingerbeweglichkeit Nach Armbruch Behandlung In Der Physiotherapie Physiowissen De Physiotherapie Portal Forum

Zeitplan Fingerbeweglichkeit Nach Armbruch Behandlung In Der Physiotherapie Physiowissen De Physiotherapie Portal Forum

Radiusfraktur Klinikum Bielefeld

Radiusfraktur Klinikum Bielefeld

1

1

Handgelenksbruch Distale Radiusfraktur

Handgelenksbruch Distale Radiusfraktur

Https Www Online Oup De Article Die Distale Radiusfraktur Ein Update Der Behandlungsmethoden Uebersichtsarbeiten 2014 05 708 Articlemedia Issue

Https Www Online Oup De Article Die Distale Radiusfraktur Ein Update Der Behandlungsmethoden Uebersichtsarbeiten 2014 05 708 Articlemedia Issue

Https Repository Publisso De Resource Frl 4429400 1 Data

Https Repository Publisso De Resource Frl 4429400 1 Data

Radiusfraktur Speichenbruch Ursachen Symptome Behandlung Medlexi De

Radiusfraktur Speichenbruch Ursachen Symptome Behandlung Medlexi De

Handgelenkbruch Entstehung Behandlung Heilungsdauer Netdoktor

Handgelenkbruch Entstehung Behandlung Heilungsdauer Netdoktor

Distale Radiusfraktur Op Zentrum Orthopadie Chirurgie

Distale Radiusfraktur Op Zentrum Orthopadie Chirurgie

Https Core Ac Uk Download Pdf 11033154 Pdf

Https Core Ac Uk Download Pdf 11033154 Pdf

Storungen Des Distalen Radioulnargelenkes Nach Distaler Radiusfraktur Springerlink

Storungen Des Distalen Radioulnargelenkes Nach Distaler Radiusfraktur Springerlink

Https Core Ac Uk Download Pdf 11033154 Pdf

Https Core Ac Uk Download Pdf 11033154 Pdf

Radiuskopfchenbruch Wikipedia

Radiuskopfchenbruch Wikipedia

Https Epub Uni Regensburg De 23470 1 Druckversion Promotion Distale Radiusfraktur Mit Anhang Nature Pdf

Https Epub Uni Regensburg De 23470 1 Druckversion Promotion Distale Radiusfraktur Mit Anhang Nature Pdf

Tag 45 Distale Radiusfraktur Schaftfrakturen Des Unterarmes Karteikarten Quizlet

Tag 45 Distale Radiusfraktur Schaftfrakturen Des Unterarmes Karteikarten Quizlet

Https Www Handchirurgie Ravensburg De Fileadmin Benutzerdaten Handchirurgie Ravensburg De Pdf Publikationen Distale Radiuskorrekturosteotomie Indikation Therapeutisches Vorgehen Pdf

Https Www Handchirurgie Ravensburg De Fileadmin Benutzerdaten Handchirurgie Ravensburg De Pdf Publikationen Distale Radiuskorrekturosteotomie Indikation Therapeutisches Vorgehen Pdf

Radiusfraktur Physiozentrum

Radiusfraktur Physiozentrum

Https Www Thieme Connect Com Products Ejournals Pdf 10 1055 S 0032 1327993 Pdf

Https Www Thieme Connect Com Products Ejournals Pdf 10 1055 S 0032 1327993 Pdf

Distale Radiusfraktur Doccheck Flexikon

Distale Radiusfraktur Doccheck Flexikon

Distale Radiusfraktur Med Bayern Ost

Distale Radiusfraktur Med Bayern Ost

D Pennig S Research Works University Of Cologne Koln Uoc And Other Places

D Pennig S Research Works University Of Cologne Koln Uoc And Other Places

Https Www Handchirurgie Ravensburg De Fileadmin Benutzerdaten Handchirurgie Ravensburg De Pdf Publikationen Distale Radiuskorrekturosteotomie Indikation Therapeutisches Vorgehen Pdf

Https Www Handchirurgie Ravensburg De Fileadmin Benutzerdaten Handchirurgie Ravensburg De Pdf Publikationen Distale Radiuskorrekturosteotomie Indikation Therapeutisches Vorgehen Pdf

Distale Radiusfraktur Med Bayern Ost

Distale Radiusfraktur Med Bayern Ost

Physiotherapie Bei Einer Radiusfraktur

Physiotherapie Bei Einer Radiusfraktur

Https Core Ac Uk Download Pdf 11033154 Pdf

Https Core Ac Uk Download Pdf 11033154 Pdf

Distale Radiusfraktur Op Zentrum Orthopadie Chirurgie

Distale Radiusfraktur Op Zentrum Orthopadie Chirurgie

Radiusfraktur Fachwissen Zu Bandagen

Radiusfraktur Fachwissen Zu Bandagen

Distale Radiusfraktur Rehabilitation Nach Distaler Radiusfraktur Springermedizin De

Distale Radiusfraktur Rehabilitation Nach Distaler Radiusfraktur Springermedizin De

Symptomatik der distalen Radiusfraktur.

Patienten älter als 55 Jahre mit vorbestehender Bewegungseinschränkung und dislozierter distaler Radiusfraktur und unzureichender Konsolidierung 6 Wochen posttraumatisch wurden als Risikopatienten für ein schlechteres Outcome identifiziert hier wurde die Empfehlung zur Durchführung von Physiotherapie gestellt. Die Inzidenz liegt mittlerweile bei unter 3 27. Starke Bewegungseinschränkung nach offener Radiusfraktur. Dabei ist orientierend nach dem Erfahrungswert von einer MdE von 10 von Hundert auszugehen. Übungen nach Operation der distalen Radiusfraktur - vom Physiopark im Sankt Josef RegensburgDer Bruch des Handgelenks distale Radiusfraktur ist eine der. Schwellungen und Bewegungseinschränkungen auf. Besonders die Auswärtsdrehung der Hand und die Unterarmdrehung sind mit Schmerzen verbunden. Diese ist bei einfachen Frakturen in eigenständiger Durchführung ausreichend bei komplexen Frakturen durch Physiotherapeuten zu. Ich habe hier schon mal berichtet.


Mitunter treten begleitend zum Speichenbruch Sensibilitätsstörungen der Hand oder der Finger auf. Patienten älter als 55 Jahre mit vorbestehender Bewegungseinschränkung und dislozierter distaler Radiusfraktur und unzureichender Konsolidierung 6 Wochen posttraumatisch wurden als Risikopatienten für ein schlechteres Outcome identifiziert hier wurde die Empfehlung zur Durchführung von Physiotherapie gestellt. Je nach Ausmaß der Verletzung kommt es zu einer Dislokation also einer Verschiebung des Frakturfragments. Nun hab ich eine Metallplatte noch drin. Im Langzeitverlauf ist in Abhängigkeit von der Frakturstellung - die Entstehung einer posttraumatischen Arthrose Gelenkverschleiß möglich. Gesichert werden kann die Radiusfraktur aber meist nur mithilfe einer Röntgendiagnostik. Nach mehreren Therapien ist mein Handgelenk zwar beweglicher geworden aber nach hinten kann ich es gar nicht beugen.

Posting Komentar untuk "Bewegungseinschränkung Nach Distaler Radiusfraktur"