Lompat ke konten Lompat ke sidebar Lompat ke footer

Metastasen Im Kopf Lebenserwartung

Hirnmetastasen Wenn Tumorzellen Ins Gehirn Wandern

Hirnmetastasen Wenn Tumorzellen Ins Gehirn Wandern

Metastasen im kopf lebenserwartung. Meist ist die Prognose schlecht und eine Heilung nicht mehr möglich. Wenn sich der Primärtumor gut behandeln lässt verbessert das die Chancen des Betroffenen. Lebenserwartung und Krankheitsverlauf hängen daher auch von der Grunderkrankung ab.

Prognose und Lebenserwartung von Patienten mit Knochenmetastasen. Hat der Primärtumor nur ein einziges Mal gestreut spricht man von einer solitären Metastase. Tumorprozesse mit Metastasen in paraaortalen Lymphknoten werden als das dritte oder vierte Stadium der Erkrankung bezeichnet.

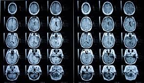
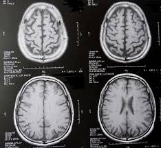
Eine der häufigsten Krebsarten in Deutschland ist LungenkrebsLebenserwartung und Heilungschancen hängen vor allem davon ab zu welcher Art der Tumor gehört und wie weit fortgeschritten er ist. Vor allem bei Metastasen sollte vor dem Versuch einer operativen. Es wurde im Kopf nur eine einzige Metastase gefunden was die Prognose im Gegensatz zu multiplen Metastasen verbessert.

Mit zunehmender Höhe des Stadiums sinkt die Lungenkrebs Lebenserwartung. Mit der richtigen Behandlung lässt sich aber die Lebenszeit vieler Patienten zumindest verlängern. Es gibt verschiedene Faktoren die die Überlebensrate bei Knochenmetastasen vorhersagen.

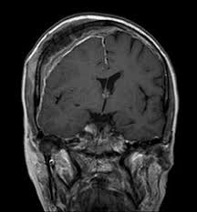
Lebenserwartung und Heilungschancen Das Auftreten einer Hirnmetastase bedeutet dass sich der Primärtumor bereits weiter ausgebreitet hat. Auch ihre Seite sollten sie mal überarbeiten was heißt die Lebenserwartung bei Hirnmetastasen beträgt ein paar Wochen. Bei sehr vielen Metastasen oder Metastasen in der Hirnhaut liegt die Lebenserwartung jedoch nur bei wenigen Monaten.

Ursachen Diagnose Lebenserwartung. Was ist das für ein Blödsinn. Die medianen Überlebenszeiten die durch beide Therapieformen bei einzelnen und multiplen Metastasen erzielt werden sind vergleichbar und liegen zwischen sechs Monaten und einem Jahr sofern die Selektionskriterien berücksichtigt werden 13 - 15.

Bestehen zusätzlich weitere Tumorabsiedlungen in anderen Organen wird. Meine Mutter hat Lungenkrebs mit Metastasen im Kopf.

Hirnmetastasen

Hirnmetastasen

Metastasen Im Gehirn Symptome Untersuchung Behandlung Ein Kurzer Uberblick

Metastasen Im Gehirn Symptome Untersuchung Behandlung Ein Kurzer Uberblick

Hirnmetastasen Neurochirurgie Inselspital Bern

Hirnmetastasen Neurochirurgie Inselspital Bern

Hirnmetastasen Neurochirurgie Inselspital Bern

Hirnmetastasen Neurochirurgie Inselspital Bern

Hirnmetastase Wikipedia

Hirnmetastase Wikipedia

Metastasen Im Gehirn Behandlungsmoglichkeiten Mit Dem Gamma Knife

Metastasen Im Gehirn Behandlungsmoglichkeiten Mit Dem Gamma Knife

Hirnmetastasen Ursachen Symptome Behandlung Medlexi De

Hirnmetastasen Ursachen Symptome Behandlung Medlexi De

Hirnmetastase Wikipedia

Hirnmetastase Wikipedia

Metastasen Die Todlichen Tochter

Metastasen Die Todlichen Tochter

Metastasen In Lunge Knochen Behandlung Prognose

Metastasen In Lunge Knochen Behandlung Prognose

Hirnmetastasen Wenn Tumorzellen Ins Gehirn Wandern

Hirnmetastasen Wenn Tumorzellen Ins Gehirn Wandern

Hirnmetastasen Stellenwert Der Chirurgischen Therapie

Hirnmetastasen Stellenwert Der Chirurgischen Therapie

Hirntumor Tickende Zeitbombe Pz Pharmazeutische Zeitung

Hirntumor Tickende Zeitbombe Pz Pharmazeutische Zeitung

Arten Von Hirntumoren Lymphome Dkg

Arten Von Hirntumoren Lymphome Dkg

Ubersicht Uber Hirntumoren Storungen Der Hirn Ruckenmarks Und Nervenfunktion Msd Manual Ausgabe Fur Patienten

Ubersicht Uber Hirntumoren Storungen Der Hirn Ruckenmarks Und Nervenfunktion Msd Manual Ausgabe Fur Patienten

Hirnmetastase Wikipedia

Hirnmetastase Wikipedia

Metastasierung Von Tumoren Gesundheitsindustrie Bw

Metastasierung Von Tumoren Gesundheitsindustrie Bw

Lungenkrebs Heilungschancen Lebenserwartung

Lungenkrebs Heilungschancen Lebenserwartung

Hirntumor Ursachen Symptome Und Behandlung

Hirntumor Ursachen Symptome Und Behandlung

Hirntumor Ursachen Symptome Und Behandlung

Hirntumor Ursachen Symptome Und Behandlung

Glioblastom Neurochirurgie Inselspital Bern

Glioblastom Neurochirurgie Inselspital Bern

Metastasen Ohne Primartumor

Metastasen Ohne Primartumor

Metastasen Die Grosste Gefahr Bei Krebs Wissen Umwelt Dw 04 02 2019

Metastasen Die Grosste Gefahr Bei Krebs Wissen Umwelt Dw 04 02 2019

1

1

Metastasen Bei Darmkrebs

Metastasen Bei Darmkrebs

Knochenmetastase Wikipedia

Knochenmetastase Wikipedia

Hirnmetastasen Bei Brustkrebs Heilung Durch Hochprazisionsbestrahlung Moglich Gesundheitsstadt Berlin

Hirnmetastasen Bei Brustkrebs Heilung Durch Hochprazisionsbestrahlung Moglich Gesundheitsstadt Berlin

Wie Entstehen Metastasen

Wie Entstehen Metastasen

Therapie Von Hirnmetastasen Im Wandel Mamma Mia Online Das Brustkrebsmagazin

Therapie Von Hirnmetastasen Im Wandel Mamma Mia Online Das Brustkrebsmagazin

Hirnmetastasen Symptome Und Behandlung Umm Universitatsmedizin Mannheim

Hirnmetastasen Symptome Und Behandlung Umm Universitatsmedizin Mannheim

Hirntumor Oncology Guide

Hirntumor Oncology Guide

Hirnmetastasen Dkg

Hirnmetastasen Dkg

Hirnmetastasen Absiedlung Von Tumorzellen Ins Gehirn

Hirnmetastasen Absiedlung Von Tumorzellen Ins Gehirn

Knochenmetastase Wikipedia

Knochenmetastase Wikipedia

Lungenkrebs Symptome Stadien Lebenserwartung Onmeda De

Lungenkrebs Symptome Stadien Lebenserwartung Onmeda De

Hirnmetastasen Neurochirurgie Inselspital Bern

Hirnmetastasen Neurochirurgie Inselspital Bern

Hirnmetastasen Therapie Heilungschancen

Hirnmetastasen Therapie Heilungschancen

Lungenkrebs Heilungschancen Lebenserwartung

Lungenkrebs Heilungschancen Lebenserwartung

Strahlentherapie Bei Hirnmetastasen Der Trend Geht Zur Stereotaktischen Radiochirurgie Statt Ganzhirnbestrahlung Deutsche Gesellschaft Fur Neurologie E V

Strahlentherapie Bei Hirnmetastasen Der Trend Geht Zur Stereotaktischen Radiochirurgie Statt Ganzhirnbestrahlung Deutsche Gesellschaft Fur Neurologie E V

Hirntumor Symptome Und Lebenserwartung Focus Arztsuche

Hirntumor Symptome Und Lebenserwartung Focus Arztsuche

Lungenkrebs Focus Arztsuche

Lungenkrebs Focus Arztsuche

Metastasen Leicht Zu Entdecken Schwer Zu Behandeln Wissensschau De

Metastasen Leicht Zu Entdecken Schwer Zu Behandeln Wissensschau De

Lungenmetastasen Gefahrliche Tochtergeschwulste

Lungenmetastasen Gefahrliche Tochtergeschwulste

Gerat Erhoht Lebenserwartung Bei Gehirntumoren Krebs Nachrichten

Gerat Erhoht Lebenserwartung Bei Gehirntumoren Krebs Nachrichten

Bauchspeicheldrusenkrebs Pankreaskarzinom Symptome Ursachen Lebenserwartung Onmeda De

Bauchspeicheldrusenkrebs Pankreaskarzinom Symptome Ursachen Lebenserwartung Onmeda De

Immunonkologie Kopf Hals Tumoren

Immunonkologie Kopf Hals Tumoren

Hirnmetastasen Ursachen Diagnose Lebenserwartung Netdoktor

Hirnmetastasen Ursachen Diagnose Lebenserwartung Netdoktor

Hirnmetastasen Wenn Tumorzellen Ins Gehirn Wandern

Hirnmetastasen Wenn Tumorzellen Ins Gehirn Wandern

Https Encrypted Tbn0 Gstatic Com Images Q Tbn And9gcsstgjmu7fsc7q Wkr4jfspojomjhzr6jqaxsk Scpfeto1euef Usqp Cau

Https Encrypted Tbn0 Gstatic Com Images Q Tbn And9gcsstgjmu7fsc7q Wkr4jfspojomjhzr6jqaxsk Scpfeto1euef Usqp Cau

Es gibt verschiedene Faktoren die die Überlebensrate bei Knochenmetastasen vorhersagen.

Wenn sich der Primärtumor gut behandeln lässt verbessert das die Chancen des Betroffenen. Meine Mutter hat Lungenkrebs mit Metastasen im Kopf. Wenn sich der Primärtumor gut behandeln lässt verbessert das die Chancen des Betroffenen. Ist das ursächliche Krebsleiden gut behandelbar überleben die. Auch ihre Seite sollten sie mal überarbeiten was heißt die Lebenserwartung bei Hirnmetastasen beträgt ein paar Wochen. Deshalb konnte deine Mutter auch operiert werden. Es wurde im Kopf nur eine einzige Metastase gefunden was die Prognose im Gegensatz zu multiplen Metastasen verbessert. Es gibt die Ganzkopfbestrahlung und dann gibts immerhin noch das Gamma knife. Mit der richtigen Behandlung lässt sich aber die Lebenszeit vieler Patienten zumindest verlängern.


Die Daten stammen aus Studien. Es gibt die Ganzkopfbestrahlung und dann gibts immerhin noch das Gamma knife. Mehr als 25 Prozent der Krebspatienten entwickeln im weiteren Krankheitsverlauf Metastasen des Gehirns. Meist ist die Prognose schlecht und eine Heilung nicht mehr möglich. Bestehen zusätzlich weitere Tumorabsiedlungen in anderen Organen wird. Im Gehirn unterscheidet man zwischen singulär solitär oder multipel. Vor allem bei Metastasen sollte vor dem Versuch einer operativen.

Posting Komentar untuk "Metastasen Im Kopf Lebenserwartung"